• Tel
曾安牙醫 矯正診所
Dr.Tseng’s Orthodontiic Clinic
  • 繁中
  • EN
  • 關於我們
  • 醫師介紹
  • 診療項目
  • 諮詢服務
  • 心得分享
  • 聯絡我們

診療項目

  • 各類不同的矯正案例:不需手術,不用骨釘
  • 因矯正而改變臉型
  • 顳顎關節疼痛障礙
  • 睡眠呼吸中止症

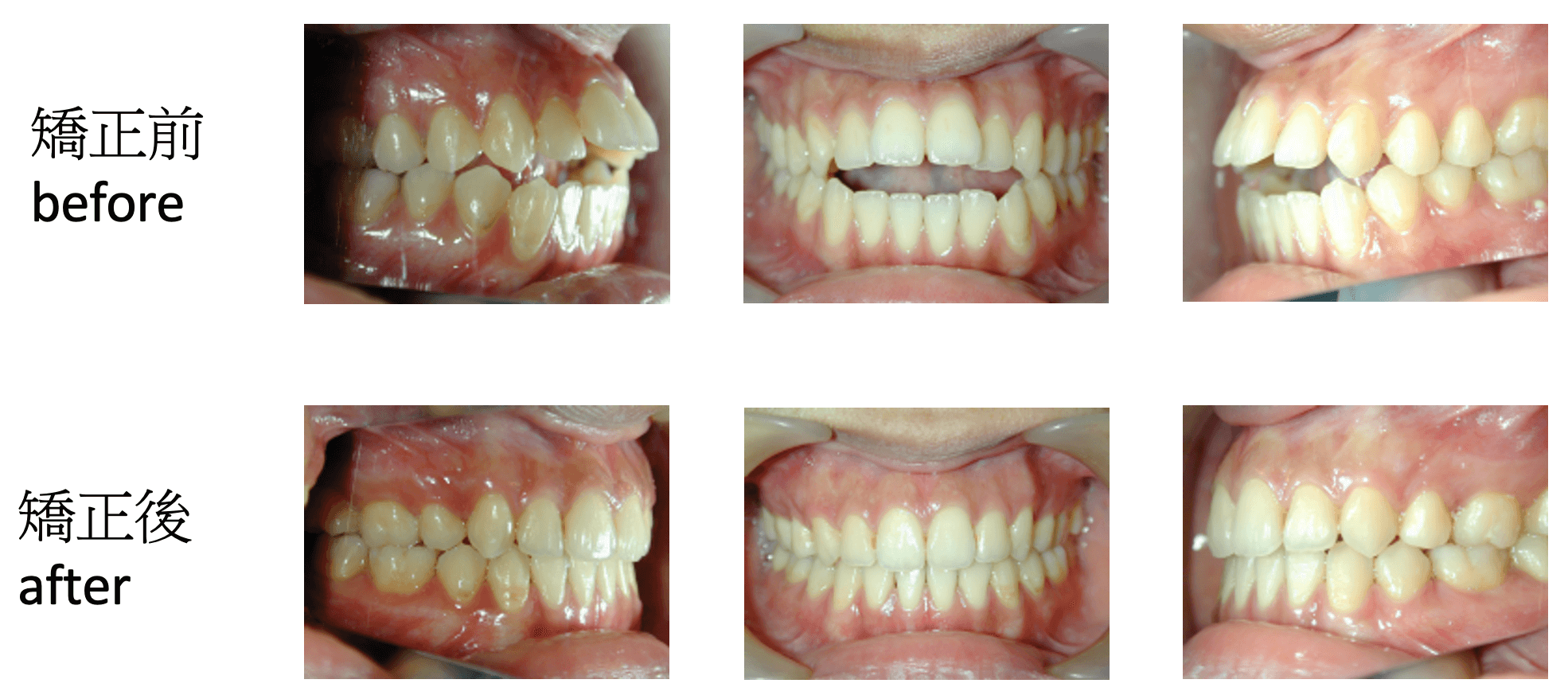
開咬暴牙

返回列表
曾安牙醫 矯正診所
預約電話:02-27415646.02-27116138傳真:02-27409529
診所地址:台北市光復南路306號3樓之1
本網著作權及責任為曾安牙醫矯正診所所有 版權所有,禁止未經授權轉貼節錄 | 網頁設計